AI-POWERED DENTAL RADIOLOGY

Revolutionize Dental Diagnostics with Artificial Intelligence

SmileVision AI analyzes OPG radiographs and intra-oral images to detect 25+ dental conditions in under 30 seconds. Help your patients with faster, more accurate diagnoses powered by cutting-edge machine learning.

No credit card required
98.5% accuracy
10 free scans
AI-POWERED DENTAL RADIOLOGY

What is SmileVision AI?

SmileVision AI is a cutting-edge artificial intelligence platform designed specifically for dental professionals. Our advanced AI algorithms analyze dental radiographs—including OPGs (Orthopantomograms) and intra-oral images—to detect dental diseases, anomalies, and pathologies with exceptional accuracy and speed.

By correlating OPG scans with intra-oral photographs, SmileVision provides comprehensive diagnostic insights that help dentists make faster, more accurate diagnoses, improve treatment planning, and enhance patient outcomes.

98.5%
Detection Accuracy *
< 30s
Analysis Time
15+
Dental Conditions Detected
100+
Scans Analyzed Monthly

Comprehensive Dual-Imaging Analysis

OPG Radiology Analysis

Upload panoramic X-rays (OPGs) for comprehensive analysis of the entire dental arch. Our AI detects:

  • Cavities and decay
  • Periapical infections
  • Bone loss and periodontal disease
  • Impacted teeth
  • Root fractures
  • Cysts and tumors

Intra-Oral Image Correlation

Upload intra-oral photographs to correlate with OPG findings for enhanced diagnostic accuracy:

  • Surface lesion detection
  • Tooth discoloration analysis
  • Gingival health assessment
  • Restoration quality evaluation
  • Visual confirmation of X-ray findings
  • Treatment progress tracking

Intelligent Image Correlation

When both OPG and intra-oral images are provided, SmileVision's AI cross-references findings to provide a complete diagnostic picture. This dual-imaging approach significantly improves diagnostic confidence and helps identify conditions that might be missed when viewing images separately.

How SmileVision AI Works

Get comprehensive AI-powered dental analysis in three simple steps

01

Upload Your Images

Securely upload dental OPG radiographs and/or intra-oral photographs through our encrypted platform. The system instantly prepares images for AI analysis while maintaining patient confidentiality.

Secure Upload Encrypted Transfer
02

AI Analysis & Detection

Our advanced neural networks analyze the images in real-time, automatically identifying teeth, generating precise numbering, and detecting 25+ dental conditions including cavities, infections, fractures, bone loss, and pathologies with clinical-grade accuracy.

Real-time Processing 98.5% Accuracy
03

Comprehensive Report Generation

Receive a detailed diagnostic report with annotated images, tooth-by-tooth findings, detected conditions, treatment recommendations, and patient-friendly summaries. Export reports as PDF or integrate directly into your practice management system.

Detailed Reports EMR Integration

Why Dentists Choose SmileVision AI

Save Time

Reduce radiograph analysis time from 10+ minutes to under 30 seconds. Spend more time with patients and less time on manual image review.

Improve Accuracy

AI-assisted diagnosis catches anomalies that might be missed in routine examinations, ensuring no condition goes undetected.

Enhance Patient Communication

Visual reports with clear annotations help patients understand their conditions better, leading to higher treatment acceptance rates.

Increase Case Acceptance

Professional AI-generated reports build patient confidence and trust, resulting in 30% higher treatment plan acceptance on average.

Reduce Liability

Comprehensive documentation and AI-verified findings provide additional protection and support clinical decision-making.

Second Opinion Confidence

Use AI as a reliable second opinion tool to validate diagnoses and ensure comprehensive patient care.

Powerful AI Features for Modern Dental Practice

Automatic Tooth Numbering

AI automatically identifies and numbers all teeth using FDI, Universal, or Palmer notation systems with 99% accuracy, saving valuable time.

Multi-Condition Detection

Simultaneously detects 25+ dental conditions including caries, periapical lesions, impacted teeth, bone loss, fractures, and pathologies.

Precise Bounding Box Annotations

Visual indicators highlight areas of concern with precise bounding boxes, measurements, and color-coded severity levels for easy identification.

AI-Generated Clinical Reports

Comprehensive clinical reports with findings summary, treatment recommendations, and patient-friendly explanations ready for immediate use.

Image Correlation Technology

Cross-reference OPG findings with intra-oral photographs for enhanced diagnostic accuracy and comprehensive patient assessment.

Real-Time Processing

Get complete analysis and detailed reports in under 30 seconds. No waiting, no delays—instant results for immediate clinical use.

Instant Re-Analysis

Upload and analyze images anytime you need. Get fresh AI-powered insights on demand with consistent, reliable results every time.

EMR/PMS Integration

Seamlessly integrate with popular practice management systems and EMR platforms for streamlined workflow and automatic record keeping.

CLINICALLY VALIDATED

Built on Clinical Evidence and Research

SmileVision AI is developed and validated by dental professionals and AI researchers, ensuring clinical accuracy and reliability you can trust.

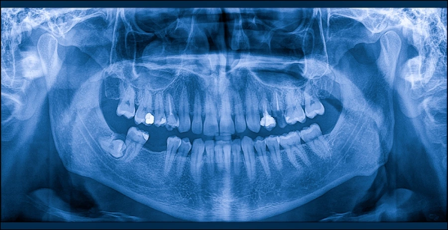
AI Analysis Example
98.5% Sensitivity
97.8% Specificity

Responsible AI Development

Evidence-Based Algorithms

Our AI models are trained on peer-reviewed clinical data and validated against established diagnostic standards.

Human Oversight

Dedicated dental research team reviews AI outputs to prevent hallucinations and ensure diagnostic accuracy.

Continuous Improvement

Models are continuously updated with new clinical data to improve accuracy and expand diagnostic capabilities.

Enterprise-Grade Security & Privacy

Patient Data Protection

We take patient privacy seriously and maintain the highest standards of data protection. All patient data is automatically de-identified before AI analysis and only re-identified upon secure return to your practice account.

  • End-to-End Encryption (AES-256)
  • Automatic Data De-identification
  • Zero Third-Party Data Sharing
  • Secure Cloud Infrastructure
  • Regular Security Audits

Transparent Data Handling

We believe in complete transparency about how your data is handled. Your patient data is never used to train our models without explicit consent, and you maintain full control over your information.

Data Ownership
Right to Delete
Data Export
Privacy First

See SmileVision AI in Action

Example of AI-generated diagnostic report with annotated imaging

AI Annotated Dental X-Ray
Caries - #14
Bone Loss - 4.2mm
Periapical - #3

AI-generated annotations highlight areas requiring attention with precise bounding boxes

AI Diagnostic Summary

#14 High Priority

Deep carious lesion detected on distal surface. Recommend immediate restoration.

#3 High Priority

Periapical radiolucency present. Endodontic evaluation recommended.

Posterior Region Monitor

Mild horizontal bone loss (4.2mm). Monitor periodontal health.

Get Started with SmileVision AI Today

Choose the plan that fits your practice needs

FREE TRIAL

Try It Free

$0 / 14 days
  • 10 Free Scans
  • Full AI Analysis
  • PDF Report Export
  • Email Support
ENTERPRISE

Multi-Location

Custom pricing
  • Everything in Professional
  • Multi-Location Support
  • Custom Integrations
  • Dedicated Account Manager
  • Training & Onboarding
  • SLA Guarantee
30-Day Money-Back Guarantee • Cancel Anytime • No Long-Term Contracts

Transform Your Dental Practice with AI-Powered Diagnostics

Join thousands of dentists who are already using SmileVision AI to improve diagnostic accuracy, save time, and provide better patient care.